Abrasionsgebisse
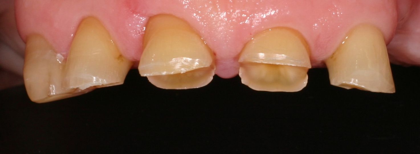
„Abrasion“ kommt vom lateinischen Wort „abrasio“ und bedeutet so viel wie „Abkratzung“. Demnach wird ein Gebiss, das stark abgenutzte und somit geschädigte Zähne aufweist, im zahnmedizinischen Fachjargon als „Abrasionsgebiss“ bezeichnet.
Ausgangssituation
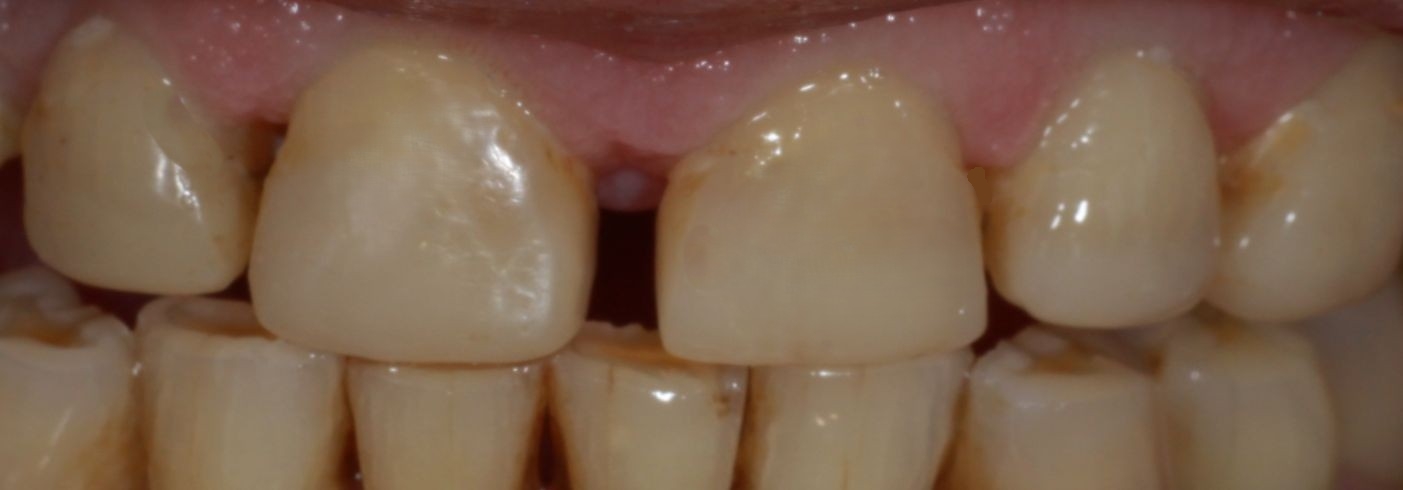
Nach 5 Jahren!
Wann führt unsere Praxis Aufbauten durch:
- V. a. wenn die Frontzähne im Oberkiefer extrem abgenutzt sind und die Seitenzähne noch vorhanden sind. Durch die Abnutzung hat sich der Biss gesenkt, d. h. hier sind keine Brücken noch Implantate wegen Platzmangel mehr möglich.
- Drohender Frontzahnverlust
- Aus ästhetischen Gründen
- Wenn durch Erosionen im Seitenzahnbereich die Kauflächen verloren gegangen sind.
Wir haben seit 15 Jahren sehr positive Langzeitergebnisse. Es ist eine komplexe, anspruchsvolle Rekonstruktion, die allein durch Füllungen möglich ist. Bisher brauchten wir noch keinen Zahn in der Nachbetreuung mit einer Krone zu versorgen.
Wir beraten Sie gerne!